Lower Limb Trauma Procedures
Specialist care for fractures and injuries of the hip, leg, ankle, and foot
Lower limb trauma can significantly impact mobility, independence, and overall quality of life. Injuries to the hip, thigh, knee, shin, ankle, or foot may occur as a result of accidents, sporting injuries, or falls. At Melbourne Orthopaedic Clinic, our surgeons provide timely assessment and treatment for a wide range of lower limb trauma. The goal of treatment is to restore stability, promote healing, and support patients in returning to their daily activities as safely and quickly as possible.
Types of lower limb trauma
Lower limb trauma includes a variety of injuries, such as:
- Hip fractures – common in older patients, often requiring surgical fixation or hip replacement.
- Femoral shaft fractures – serious injuries usually treated with intramedullary nailing or plates and screws.
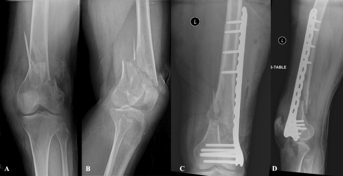
- Knee fractures – involving the patella (kneecap), tibial plateau, or distal femur.
- Tibia and fibula fractures – injuries to the shinbone and outer leg bone, ranging from simple to complex fractures.
- Ankle fractures and dislocations – may require plates, screws, or external fixation for stabilisation.
- Foot fractures – including the calcaneus (heel bone), midfoot, and forefoot.
Surgical procedures for lower limb trauma
The type of surgery depends on the location and severity of the injury. Options may include:
- Open reduction and internal fixation (ORIF) – using metal plates, screws, or rods to stabilise broken bones.
- Intramedullary nailing – a rod placed inside the bone to treat long bone fractures.
- External fixation – stabilising bones with a frame outside the body in cases of severe trauma or soft tissue injury.
- Joint replacement procedures – such as partial or total hip replacement when fractures cannot be repaired with fixation.
Recovery and Rehabilitation
Recovery timelines vary depending on the type of fracture, the surgical approach, and individual health factors. Most patients will require:
- Hospital stay – ranging from a few days to longer if complex surgery or multiple injuries are involved.
- Pain management – tailored to minimise discomfort and support early movement.
- Physiotherapy – essential for regaining strength, joint movement, and safe walking.
- Mobility aids – such as crutches or walkers during the initial recovery phase.
- Follow-up care – including regular reviews and imaging to monitor healing.
Long-term outcomes
With appropriate surgical care and rehabilitation, most patients achieve good outcomes and return to daily activities. Factors that may influence recovery include age, bone quality, presence of osteoporosis, and whether multiple injuries are involved. Early physiotherapy, weight-bearing as guided by your surgeon, and adherence to rehabilitation programs support the best long-term function.